SEPTIEMBRE 2019

Flujo de DA en reposo. Puede ser un indicador interesante (PARTE II)

Caso enviado por los Dres. Rocío Fernández, Marcelo Izurieta, Diego Crippa, Miguel González, Victor Darú, Matías Sztejfman, Sanatorio Finochietto, Buenos Aires.

Espesores y diámetros cavitarios normales. Aurícula izquierda normal (34 ml/m²). No se detectan flujos patológicos.

Las vistas en reposo no presentan asinergias regionales. Fracción de eyección normal (67%).

El Doppler color transtorácico con preset para visualización del flujo coronario indica la presencia de sectores con mosaico por turbulencia de alta velocidad en tercio medio y distal.

El Doppler pulsado en la unión del tercio medio y distal de la arteria descendente anterior registra un aumento muy severo de la velocidad (126 cm/seg en el pico diastólico) sugestiva de lesión significativa.

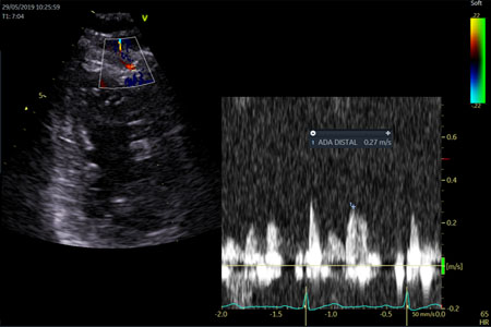
El Doppler pulsado en la arteria descendente anterior distal registra una reducción muy significativa de la velocidad respecto al registro más proximal (28 cm/seg). Dicho gradiente sugiere obstrucción significativa.

Las próximas imágenes corresponden a distintas vistas del ecoestres con ejercicio. Arriba a la izquierda reposo, arriba a derecha 150 Kgm, abajo a izquierda 1 minuto de 300 Kgm. Abajo a derecha a los 6 minutos de la recuperación.
Durante el esfuerzo el paciente refiere angina, se observa infradesnivel ST 1,5 mm desde el final de los 150 Kgm. Se detiene la prueba por evidencia de isquemia miocárdica La vista de 4 cámaras muestra en la primera carga hipoquinesia apicoseptal y apicolateral, con redondeo leve del ápex. En la carga de 300 Kgm se agrega rocking apical antihorario. En la imagen tardía se observa la recuperación de la motilidad normal del ápex.

Durante el esfuerzo se aprecia en la vista de 2 cámaras hipoquinesia anteroapical, y anteromedial.

En los ejes largos apical y paraesternal se observa hipoquinesia apicoseptal y del septum anterior medio.

El strain longitudinal en reposo del eje largo apical es -22.7%.

En el esfuerzo no aumenta, cayendo a -21,2% a expensas de los segmentos apicoseptal y del septum anterior medio.

Invitamos a los lectores a efectuar su comentario sobre la interpretación de los hallazgos del estudio y la anatomía coronaria que pueda sustentarlos.


FIN DE LA PRIMERA PARTE


SEGUNDA PARTE

Se interpreta el estudio como isquémico a baja carga, presuponiendo una lesión severa de la arteria descendente anterior, indicando el médico tratante la cincecoronariografía.
Se observa una lesión severa Tipo B1 en el tercio medio de la coronaria descendente anterior entre los stents previamente colocados, los cuales no tenían reestenosis. Se observa además en tercio medio distal y distal al último stent una lesión critica larga del 95%, ambas con flujo TIMI III.

Se observan las dos lesiones señaladas en la arteria descendente anterior, así como lesiones en la arteria circunfleja (atrioventricular y posteroventricular).

Se logra atravesar ambas lesiones con una cuerda tipo floppy de 0.014”. Luego se predilata con balón de 1,5 mm de diámetro por 20 mm de largo a 12 ATM. Se impacta un stent con Zotarolimus de 2,5 mm de diámetro por 26 mm de largo impactándose a 20 ATM en la lesión distal y un stent con Zotarolimus de 2,75 mm de diámetro x 18 mm de largo en la región proximal. Luego se post dilata intrastent con balón de 2,5 mm de diámetro por 15 mm de largo a 24 ATM. Se concluye el procedimiento sin complicaciones con flujo TIMI III.

A las seis semanas del procedimiento el paciente no presenta síntomas. Efectuó ecoestrés control, completando 1 minuto de 750 Kgm (5,6 METS) alcanzando bajo bisoprolol 82% de la FC Mx prevista con Pr arterial 230/80. No se identifican asinergias en las vistas de 4 cámaras.

No se identifican asinergias en las vistas de 2 cámaras durante en apremio.

No se identifican asinergias en las vistas de ejes largos apical y paraesternal.

Vistas comparativas de los flujos Doppler de DA distal en el estudio inicial isquémico a la izquierda y en el estudio post tratamiento a la derecha.

Normalización del perfil de velocidad de flujo de la arteria descendente anterior distal post tratamiento.

Strain longitudinal en la vista del eje largo apical en reposo (-19,3%) que aumenta normalmente con el esfuerzo (-23,3%).

Comentario:

Los perfiles de flujo coronario en reposo obtenidos con Doppler transtorácico pueden en algunos casos representar un marcador que nos alerta para hacer un análisis muy exhaustivo de la motilidad parietal, que es el criterio mayor de diagnostico de isquemia en el ecoestres.

26 Sep 2019, 11:57

Excelente estudio de algo que hemos visto reiteradamente desde hace 20 años
Herramientas sumamente útiles que pocos laboratorios lo utilizan en nuestro Continente
Felicitaciones por la calidad de las imágenes y la prolijidad en la presentación y esperemos que muchos o por lo menos algunos jóvenes lo imiten

Lowenstein - (lowensteinjorge@hotmail.com)

Membresía SISIAC

Continúa la Suscripción de socios SISIAC en sus 3 categorías. Es importante actualizarse como miembro pago para adquirir los beneficios de estar asociado.

Fellows

*80 dólares

Socios activos

*80 dólares

Socios adjuntos

*40 dólares

Agradecemos el apoyo de:

Sociedad de Imágenes Cardiovasculares de la Sociedad Interamericana de Cardiología.