DICIEMBRE 2021
Caso enviado por los Dres. Marcelo Izurieta, Adriana Ortega, Nicolás Igarzabal, Bruno Gelsi, Darío Chirino, Marcelo Sacca - Sanatorio El Carmen, Salta, Argentina.
Presentamos el caso de una paciente de sexo femenino 74 años de edad, hipotiroidea.
Refería presentar hace dos años cuadro clínico consistente en astenia, adinamia, pérdida de peso, con episodios frecuentes y transitorios de eritema generalizado (VER IMAGEN 1, predominantemente nocturnos asociado a diarrea y tos.
Episodio de eritema generalizado. Al examen físico presentaba mal estado general, Tensión Arterial de 90/60 mmHg, Frecuencia Cardiaca 85 lpm, ingurgitación yugular, hepatomegalia dolorosa con masa palpable en hipocondrio derecho, edema en miembros inferiores 3/6 con Godet positivo. A la auscultación cardiaca, presentaba soplo sistólico 2/6 a predominio de foco mitral. Se realizaron exámenes paraclínicos, que describiremos a continuación.
Radiografía de tórax con índice cardiotorácico levemente aumentado, flujo pulmonar conservado, imagen nodular parahiliar derecha y calcificación en botón aórtico.
Ecocardiograma Transtorácico (Video 1/5): Se observa un ventrículo izquierdo (VI) con dimensiones y espesores conservados. El ventrículo derecho (VD) se encuentra dilatado (37 mm desde eje largo), aorta y aurícula izquierda (AI) presentan tamaño normal. La válvula aórtica se encuentra engrosada en sus bordes libres con restricción en la motilidad de las valvas coronariana izquierda y no coronariana, con insuficiencia leve a moderada. El aparato valvular mitral también engrosado, la valva posterior presenta restricción de movimiento, con insuficiencia significativa, predominantemente central.
Ecocardiograma Transtorácico (Video 2/5): Se observa un ventrículo izquierdo (VI) con dimensiones y espesores conservados. El ventrículo derecho (VD) se encuentra dilatado (37 mm desde eje largo), aorta y aurícula izquierda (AI) presentan tamaño normal. La válvula aórtica se encuentra engrosada en sus bordes libres con restricción en la motilidad de las valvas coronariana izquierda y no coronariana, con insuficiencia leve a moderada. El aparato valvular mitral también engrosado, la valva posterior presenta restricción de movimiento, con insuficiencia significativa, predominantemente central.
Ecocardiograma Transtorácico (Video 3/5): Se observa un ventrículo izquierdo (VI) con dimensiones y espesores conservados. El ventrículo derecho (VD) se encuentra dilatado (37 mm desde eje largo), aorta y aurícula izquierda (AI) presentan tamaño normal. La válvula aórtica se encuentra engrosada en sus bordes libres con restricción en la motilidad de las valvas coronariana izquierda y no coronariana, con insuficiencia leve a moderada. El aparato valvular mitral también engrosado, la valva posterior presenta restricción de movimiento, con insuficiencia significativa, predominantemente central.
Ecocardiograma Transtorácico (Video 4/5): Se observa un ventrículo izquierdo (VI) con dimensiones y espesores conservados. El ventrículo derecho (VD) se encuentra dilatado (37 mm desde eje largo), aorta y aurícula izquierda (AI) presentan tamaño normal. La válvula aórtica se encuentra engrosada en sus bordes libres con restricción en la motilidad de las valvas coronariana izquierda y no coronariana, con insuficiencia leve a moderada. El aparato valvular mitral también engrosado, la valva posterior presenta restricción de movimiento, con insuficiencia significativa, predominantemente central.
Ecocardiograma Transtorácico (Video 5/5): Se observa un ventrículo izquierdo (VI) con dimensiones y espesores conservados. El ventrículo derecho (VD) se encuentra dilatado (37 mm desde eje largo), aorta y aurícula izquierda (AI) presentan tamaño normal. La válvula aórtica se encuentra engrosada en sus bordes libres con restricción en la motilidad de las valvas coronariana izquierda y no coronariana, con insuficiencia leve a moderada. El aparato valvular mitral también engrosado, la valva posterior presenta restricción de movimiento, con insuficiencia significativa, predominantemente central.
Video 1/2: Eje largo de válvula pulmonar. La visualización de las valvas es limitada, sin embargo, se encuentran engrosadas y su motilidad es restringida. El flujo se acelera en sístole debido al hiperflujo. En diástole presenta un reflujo ancho, de corta duración.
Video 2/2: Eje largo de válvula pulmonar. La visualización de las valvas es limitada, sin embargo, se encuentran engrosadas y su motilidad es restringida. El flujo se acelera en sístole debido al hiperflujo. En diástole presenta un reflujo ancho, de corta duración.
Doppler continuo a través de la Válvula pulmonar. En la imagen, se observa el Doppler continuo a través de la válvula pulmonar: en sístole presenta una velocidad máxima de 1,6 m/seg; levemente incrementada dado el hiperflujo. El tiempo de aceleración es de 157 ms. En diástole presenta un reflujo denso, de igual intensidad al flujo sistólico, de morfología triangular. Corto en duración, proto – mesodiastólico, finaliza 190 ms previo al inicio de la sístole siguiente. El tiempo de hemipresión es de 74 ms. El índice de regurgitación pulmonar es de 0.59. Los hallazgos son concluyentes con un reflujo severo.
Video 1/4: Cavidades derechas levemente dilatadas. Area de aurícula derecha (AD) de 19 cm2. Diámetro VD basal 43 mm, medio 37 mm. La función del VD esta conservada (TAPSE 21 mm, onda S 12 cm/seg, acortamiento fraccional del area 42%). La válvula tricúspide se encuentra engrosada, retraída, e inmóvil, dejando un gran déficit de coaptación en sístole que ocasiona un reflujo torrencial.
Video 2/4: Cavidades derechas levemente dilatadas. Area de aurícula derecha (AD) de 19 cm2. Diámetro VD basal 43 mm, medio 37 mm. La función del VD esta conservada (TAPSE 21 mm, onda S 12 cm/seg, acortamiento fraccional del area 42%). La válvula tricúspide se encuentra engrosada, retraída, e inmóvil, dejando un gran déficit de coaptación en sístole que ocasiona un reflujo torrencial.
Video 3/4: Cavidades derechas levemente dilatadas. Area de aurícula derecha (AD) de 19 cm2. Diámetro VD basal 43 mm, medio 37 mm. La función del VD esta conservada (TAPSE 21 mm, onda S 12 cm/seg, acortamiento fraccional del area 42%). La válvula tricúspide se encuentra engrosada, retraída, e inmóvil, dejando un gran déficit de coaptación en sístole que ocasiona un reflujo torrencial.
Video 4/4: Cavidades derechas levemente dilatadas. Area de aurícula derecha (AD) de 19 cm2. Diámetro VD basal 43 mm, medio 37 mm. La función del VD esta conservada (TAPSE 21 mm, onda S 12 cm/seg, acortamiento fraccional del area 42%). La válvula tricúspide se encuentra engrosada, retraída, e inmóvil, dejando un gran déficit de coaptación en sístole que ocasiona un reflujo torrencial.
insuficiencia tricuspídea torrencial. El Doppler color de la válvula tricúspide evidencia un jet ancho, con vena contracta de 21,7 mm, concluyéndose como insuficiencia de grado torrencial.
Doppler continuo transtricuspideo. El Doppler continuo trans-tricuspideo evidencia una onda E de 1,2 m/seg que refleja el hiperflujo asociado a insuficiencia tricuspidea severa. El jet de reflujo es denso y triangular (IMAGEN 4). Las cavidades derechas funcionan como una cámara única, con disipación de gradiente VD-AD por lo que no es adecuado estimar presión sistólica pulmonar (PSAP). Sin embargo, no hay indicios de hipertensión pulmonar (ausencia de sobrecarga de presion de cavidades derechas, tiempo de aceleración pulmonar normal).
Doppler pulsado en venas suprahepáticas. El Doppler pulsado de las venas suprahepáticas muestra flujo sistólico reverso.
Vena cava inferior. La Vena Cava Inferior mide 19 mm sin colapso inspiratorio.
Video 1/3: El VI presenta contractilidad adecuada de todos sus segmentos. La sobrecarga volumétrica de cavidades derechas, dado doble insuficiencia tricúspidea y pulmonar severas, genera aplanamiento diastólico del septum interventricular. La AI tiene tamaño normal (26 ml/m2).
Video 2/3 El VI presenta contractilidad adecuada de todos sus segmentos. La sobrecarga volumétrica de cavidades derechas, dado doble insuficiencia tricúspidea y pulmonar severas, genera aplanamiento diastólico del septum interventricular. La AI tiene tamaño normal (26 ml/m2).
Video 3/3 El VI presenta contractilidad adecuada de todos sus segmentos. La sobrecarga volumétrica de cavidades derechas, dado doble insuficiencia tricúspidea y pulmonar severas, genera aplanamiento diastólico del septum interventricular. La AI tiene tamaño normal (26 ml/m2).
Video 1/2: La válvula mitral presenta engrosamiento bivalvar, a predominio de la valva posterior. Las cuerdas tendinosas también se encuentran engrosadas y acortadas. El punto de coaptación esta levemente desplazado hacia apical. A pesar de observarse gran área de jet de insuficiencia mitral, concluimos por todos los parámetros vistos que la insuficiencia era moderada.
Video 2/2: La válvula mitral presenta engrosamiento bivalvar, a predominio de la valva posterior. Las cuerdas tendinosas también se encuentran engrosadas y acortadas. El punto de coaptación esta levemente desplazado hacia apical. A pesar de observarse gran área de jet de insuficiencia mitral, concluimos por todos los parámetros vistos que la insuficiencia era moderada.
Doppler pulsado transmitral. El perfil de lleno transmitral es de relajación prolongada. No se observa hiperflujo. Velocidad de onda E 0,92 m/seg. Relación E/e’ 9.
Doppler continuo transmitral. El Doppler continuo transmitral muestra que la insuficiencia es holosistólica, el espectro tiene forma de parabola y no es denso.
Doppler color del jet de insuficiencia mitral. El jet de insuficiencia mitral es moderadamente grueso, con vena contracta de 6,1 mm
Doppler pulsado de vena pulmonar. El flujo venoso pulmonar es predominantemente sistolico anterógrado.
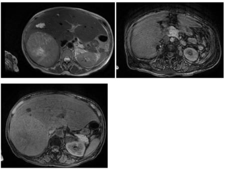
Se observa tumor de gran tamaño en el lóbulo derecho hepático – 14 x 10 cms
Video 1/2: Ante la sospecha de agresión carcinoide en válvulas izquierdas se realiza inyeccion de solucion fisiológica agitada para descartar shunt. Se observa escaso pasaje de burbujas a cavidades izquierdas solo vistas en el apical de 4 cámaras.
Video 2/2: Ante la sospecha de agresión carcinoide en válvulas izquierdas se realiza inyeccion de solucion fisiológica agitada para descartar shunt. Se observa escaso pasaje de burbujas a cavidades izquierdas solo vistas en el apical de 4 cámaras.
Resonancia magnética de abdomen. Se realizó resonancia magnética de abdomen y pelvis con contraste endovenoso para mayor estudio y localizacion del tumor. Se observa en lobulo derecho hepático masa voluminosa (14 x 10 mm), con realce heterogeneo, centro necrótico. Además, presentaba quistes de menor tamaño. En cuerpo de páncreas se observaba lesion nodular con realce heterogéneo sugestivo de malignidad. En suprarrenal izquierda se observaba lesión nodular con realce heterogéneo de 31 mm de diámetro máximo sugestiva de secundarismo
Tomografía de tórax y abdomen superior. Se realizó tomografía de tórax ante la sospecha de metastasis pulmonar. En lóbulo inferior derecho presentaba nódulo de bordes irregulares parahiliar de 22 mm de diametro máximo, altamente sugestivo de secundarismo. Múltiples imágenes ganglionares mediastínicas.
DISCUSIÓN
Nuestra paciente presentó un cuadro clínico florido compatible con síndrome carcinoide.
El síndrome carcinoide es producido por un tumor neuroendócrino. Su incidencia es baja (1-2 cada 100.000 personas al año). Su localizacion más frecuente es el tracto gastrointestinal, principalmente ileon, y en segundo lugar pulmón. Sus síntomas son secundarios a la liberación de sustancias vasoactivas (serotonina, histamina, bradicininas entre otras sustancias). Los síntomas más frecuentes son episodios de eritema generalizado y diarrea.
Las sustancias son inactivadas por el hígado si arriban a traves de la circulación portal, pero si existen grandes concentraciones o metástasis hepática alcanzan la circulación derecha donde suelen generar compromiso a nivel valvular, tricuspideo y pulmonar.
Nuevamente, las sustancias suelen ser inactivadas en el pulmón. Sin embargo, si existe shunt derecha – izquierda o bien, metástasis pulmonares pueden alcanzar las cavidades izquierdas dando compromiso de válvulas mitral y aórtica, lo cual es poco frecuente y no suele ser de magnitud severa.
Nuestra paciente presentó ligero pasaje de burbujas de derecha a izquierda y una imagen pulmonar sugestiva de metastasis, lo que podría explicar las valvulopatías izquierdas.
El pronóstico de la enfermedad depende en gran medida del compromiso cardíaco, y no tanto de la progresión tumoral. El mal estado general de la paciente y de acuerdo a su deseo y de su familia no se prosiguió con más estudios y se realizó tratamiento paliativo.
El ecocardiograma transtorácico tiene un rol fundamental en el estudio de esta enfermedad. Los hallazgos típicos son dilatación de cavidades derechas asociadas a compromiso tricuspideo y pulmonar.
La válvula tricúspide suele presentar dilatación anular y engrosamiento difuso de las válvulas, retraimiento, e inmovilidad. Las cuerdas tendinosas suelen estar engrosadas, y muchas veces acortadas. Estas alteraciones conllevan a un gran déficit de coaptación central, insuficiencia tricuspidea severa. La estenosis tricuspidea es extremadamente rara. El leve incremento en el gradiente anterógrado se produce por el hiperflujo generado. La insuficiencia genera en el Doppler continuo un espectro denso, triangular con pico precoz en forma de daga, dada la rápida disipación de gradiente VD-AD.
La válvula pulmonar suele presentar un compromiso similar a la tricúspide. La combinación de estenosis e insuficiencia es frecuente. Nuestra paciente presentó insuficiencia severa.
El Doppler color muchas veces subestima la severidad de la insuficiencia pulmonar (IP), dado que el reflujo finaliza tempranamente en la diástole, siendo la duración del reflujo inversamente proporcional a la severidad.
El dato más útil para el estudio de la IP es el Doppler continuo.
Una señal regurgitante densa y triangular, que finaliza previo al inicio del flujo anterógrado denota severidad. Al igual que un
índice de regurgitación pulmonar (relación entre la duración del reflujo y el intervalo entre dos flujos anterógrados) menor a 0,77 y un tiempo de hemipresión menor a 100 ms.
Por último, si se visualiza compromiso mitral y aórtico es mandatoria la detección del shunt intracardíaco a través de la utilización de solución fisiológica agitada y la detección de metástasis pulmonar con tomografía computada.
Bibliografía consultada
Baron T, et al. Cardiac Imaging in Carcinoid Disease. JACC 2021.
27 Dic 2021, 15:31
Hermoso caso! muy interesante y florido. No es un caso habitual de Sme carcinoide ya parece existir compromiso de las válvulas izquierdas, probablemente en relación a las metástasis pulmonares y en menor medida al FOP. Muy instructivas todas las imágenes y descripciones. Felicitaciones a los autores!
CarlosEI
Continúa la Suscripción de socios SISIAC en sus 3 categorías. Es importante actualizarse como miembro pago para adquirir los beneficios de estar asociado.
Continúa la Suscripción de socios SISIAC en sus 3 categorías.
Es importante actualizarse como miembro pago para adquirir los beneficios de estar asociado.
La cuota anual es de u$s 40 para Socios Adjuntos y u$s 80 para Socios Activos y Fellows.
Si tiene dificultad para realizar el pago, puede consultar el: Instructivo de PayPal.
*80 dólares
*80 dólares
*40 dólares
SOCIOS ACTIVOS, médicos cardiólogos especialistas en imágenes y médicos especialistas en imágenes cardiovasculares de reconocida trayectoria nacional o internacional, que reúnan los créditos necesarios para ello.
Si tiene dificultad para realizar el pago, puede consultar el: Instructivo de PayPal.
Médicos cardiólogos especialistas en imágenes y médicos especialistas en imágenes cardiovasculares.
Antes de cumplimentar el formulario tener preparado en el mismo sistema los siguientes documentos que se solicitarán como obligatorio a adjuntar:
1. Copia del diploma, título, o certificación de su especialización
2. CV actualizado
3. Recomendación de Socio ACTIVO SISIAC
Si tiene dificultad para realizar el pago, puede consultar el: Instructivo de PayPal.
Cardiólogo no especialista en imágenes, clínico, anestesista, terapista, generalista, biólogo, investigador, técnico dedicado a imágenes cardiovasculares, enfermero dedicado a imágenes cardiovasculares u otro profesional con interés en las imágenes cardiovasculares.
Antes de cumplimentar el formulario tener preparado en el mismo sistema los siguientes documentos que se solicitarán como obligatorio a adjuntar:
1. Copia del diploma, título, o certificación de su especialización
2. CV actualizado
Si tiene dificultad para realizar el pago, puede consultar el: Instructivo de PayPal.
Continúa la Suscripción de socios SISIAC en sus 2 categorías Es importante actualizarse como miembro pago para adquirir los beneficios de estar asociado.
La cuota anual es de u$s 40 para Socios Adjuntos y u$s 80 para Socios Activos, Fellows y Socios Asesores.
Beneficios de ser socio de SISIAC pagando una pequeña cuota anual:
Y muchos beneficios adicionales difíciles de cuantificar.... como el ser protagonista junto a muchos imagenólogos que trabajan para superarse y mostrarle al mundo que los latinoamericanos podemos trabajar juntos.
Haga click aquí para informarse de los beneficios y obligaciones de las diferentes categorías de membresía.
Si tiene dificultad para realizar el pago, puede consultar el: Instructivo de PayPal.
"Ser Fellow SISIAC representa uno de los logros más importantes de nuestras vidas académicas. En base a esfuerzo y disciplina hemos alcanzado este mérito, que avala una excelente trayectoria curricular, constituyéndose en un resumen de nuestro trabajo personal, universitario y profesional.
Este reconocimiento reafirma un sentimiento pro-positivo, en la búsqueda y generación de nuevos conocimientos, trabajo en equipo con nuestros colegas connacionales e internacionales, en favor de la educación médica continua, investigación y formación de nuevos médicos cardiólogos y potenciales nuevos Fellows SISIAC.
Agradecemos esta gran distinción que nos honra, y lo dedicamos a nuestras familias, nuestros maestros y a toda la comunidad SISIAC, comprometiéndonos a llevarlo con orgullo y profundo respeto."
PARA ACCEDER A CATEGORÍA FELLOW:
✔ Ser Socio Activo SISIAC con la cuota al día.
✔ Se necesita contar con 1.000 créditos o más, que pueden ser demostrados de diferentes formas.
✔ Descargar esta planilla, donde se encuentran los requisitos y la forma de obtener los créditos.
✔ Enviar a secretaria@sisiac.org la planilla con puntaje discriminado de 1.000 o más créditos, con las constancias correspondientes y el CV, para aprobación del Board Ejecutivo.
*80 dólares
*80 dólares
*40 dólares